Про рівні і красиві зуби мріє будь-яка людина. Але, як показує статистика, до 90% людей у світі стикаються з деформаціями зубного ряду, а понад 30% потребують ортодонтичної допомоги. Якщо з якихось причин ви зіткнулися з порушеннями прикусу, лікар-ортодонт нашої клініки розробить індивідуальну схему
лікування та допоможе вирівняти зуби на високому якісному рівні.


Дисфункція СНЩС-часткова або повна втрата функції суглоба: жування і мовлення.
Чому ж вона виникає?
Більшість людей вважають, що всіх лікарів, які займаються вирішенням проблем, пов’язаних з яснами та зубами, потрібно називати стоматологами. Проте це не так. Ортодонт – це лікар з більш вузькою спеціалізацією, основним напрямком роботи якого є усунення проблем, пов’язаних із неправильним формуванням прикусу. Йому до снаги не тільки змінити на краще зубний ряд і зробити вашу посмішку привабливою та красивою, але й запобігти розвитку низки захворювань, викликаних неправильним прикусом. Лікар-ортодонт допоможе у вирішенні досить широкого спектра проблем, а саме: викривлення прикусу, порушення жувальної функції, неправильна будова мовного апарату та форми зубів, дефекти зубного ряду, порушена естетика щелепної частини обличчя тощо.
Ортодонтія – це розділ стоматології, що займається профілактикою та лікуванням дефектів розвитку зубів та щелепно-лицьового скелета. На жаль, найбільшу частину пацієнтів фахівця-ортодонта складають саме діти, бо на стадії формування прикусу сьогодення створює чимало перешкод, таких як неправильне харчування, звичка гризти нігті, неправильна постава, часті застудні захворювання і так далі. І якщо вчасно не вжити заходів, деформації зубного ряду здатні «подарувати» людині чималу кількість проблем – від порушення дикції та спотвореної (неестетичної) посмішки до асиметрії обличчя та розвитку хвороб травної системи.
У дитячому віці корекція прикусу відбувається за допомогою
спеціальних трейнерів та пластинок – змінних засобів, що не
вимагають постійного носіння та можуть виготовлятися з яскравих кольорових
матеріалів, які роблять їх привабливими для маленьких пацієнтів. А також незнімних ортодонтичних апаратів- такі фіксатори оснащені спеціальними замочками, через них проходить дуга, яку постійно підтягують та крок за кроком вирівнюють зуби.
Вирівнювання зубів у підлітків здійснюється за допомогою незмінних брекет-
систем, що виправляють прикус внаслідок силового впливу та встановлюються на
поверхню зубного ряду. Залежно від того де розміщується брекет-система, вони
діляться на лінгвальні – ті, що розміщуються з внутрішньої сторони зубів, та
вестибулярні – ті, що поміщаються на зовнішню поверхню зубного ряду.
Вони бувають кількох видів:
Вестибулярні та лінгвальні-за місцем кріплення;
Лігатурні або безлігатурні (самолігуючі)-за методом кріплення дуги
Сучасні ортодонтичні конструкції, що використовуються для корекції прикусу вже понад 130 років. Попри на появу більш сучасних моделей, металеві брекети залишаються найпопулярнішими, бо вирізняються високою ефективністю, міцністю і, що досить важливо, доступною ціною.
Головними перевагами металевих брекетів вважаються:
Висока ефективність
Міцність елементів
Мінімальний термін носіння
Доступна вартість
Металеві брекети по праву вважаються найефективнішими, найпростішими в установці та використанні, а також доступними за ціною. З огляду на це багато клієнтів обирають саме їх.
Керамічні брекети можна назвати компромісом між сапфіровими та металевими брекет системами. Крім помірної вартості, вони приваблюють такими перевагами, як непомітність та акуратність, безпечність носіння – немає ризику пошкодити язик або слизові оболонки ротової порожнини, міцність, гіпоалергенність, збереження початкового кольору при контакті з продуктами. Поряд з перевагами, кераміка має деякі недоліки. Керамічні конструкції характеризуються м’якшою структурою у порівнянні з металом, тому вимагають більш тривалого носіння і підходять не у всіх клінічних випадках.
Переваги керамічних брекетів:
Естетика
Ефективність
Гіпоалергенність


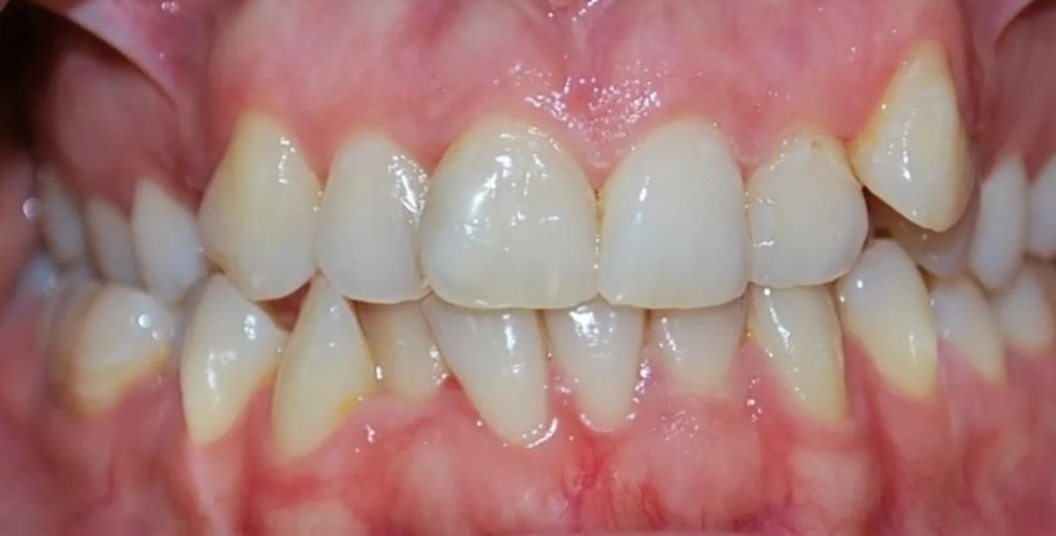
До
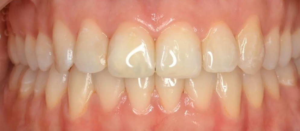
После
Сапфірові брекети (лігатурна сапфірова брекет-система) – це нове
досягнення в ортодонтії, що є оптимальним рішенням для людей, які бажають виправити прикус непомітно для оточуючих, бо брекети виготовляються зі штучного сапфіру медичного призначення. Їх вирощують у спеціальних умовах за тією ж технологією, що й для ювелірних виробів. Єдина відмінність – камені виходять безбарвними та повністю прозорими, що і дає можливість зовсім не виділятися на зубах.
Не дивлячись на усі їх переваги, ці вироби мають і деякі недоліки, а
саме: підходять пацієнтам лише зі світлою емаллю, вимагають ретельного контролю за гігієною, можуть змінювати колір під дією харчових барвників, надають середній ступінь тиску, що збільшує термін носіння, мають високу вартість.
Прозорі сапфірові брекети мають досить багато плюсів:
Високоеститична брекет-система, яка непомітна на зубах
Надміцні брекети
Комбіновані брекет-системи виготовляються із кількох типів матеріалів. Наприклад, на передні зуби ставлять сапфірові брекети, через їх непомітність, а з боків доступніші металеві.
Використовуються для виправлення прикусу будь-якої складності
У нашій стоматологічній клініці працюють досвідчені фахівці, що використовують передові технології та ефективні методи усунення щелепних
патологій, тому записуйтесь на попередню консультацію і ми допоможемо не тільки виправити прикус, а й поліпшити якість вашого життя.
Первинна консультація, огляд, мануальна діагностика, складання плану лікування
500
грн
Брекет-система American Orthodontics з фіксацією на 1 щелепу
16000
грн
Брекет-система American Orthodontics з фіксацією на 1 щелепу
22000
грн
Брекет-система American Orthodontics з фіксацією на 1 щелепу
22000
грн

Dental Clinic & Gnathology
СБ 10:00-18:00
2022-2025 «ASSA Dental Clinic». Всі права захищені.